ODONTOLOGÍA KATTY ESCOBAR — Cali, Salomia
Sobre la Dra. Katty Escobar
La Dra. Katty Escobar lidera los tratamientos estéticos y de rehabilitación oral en la clínica, combinando formación académica sólida con una visión integral de la odontología moderna.
Con más de 15 años de experiencia clínica, trabaja en conjunto con planificación funcional y estética para lograr resultados armónicos y naturales en cada paciente.
Su enfoque no se basa únicamente en mejorar la apariencia, sino en asegurar que cada tratamiento tenga equilibrio entre estética, función y salud oral.
Cada caso inicia con un diagnóstico preciso que incluye valoración clínica y estudios radiográficos, lo que permite diseñar un plan completamente personalizado.
Este proceso garantiza que el resultado final no solo se vea bien, sino que también tenga un ajuste adecuado, estabilidad y durabilidad.
La Dra. Katty trabaja con materiales de alta calidad y protocolos actualizados, buscando siempre que el paciente recupere no solo su sonrisa, sino también su confianza al hablar y sonreír.
- Tienes manchas que no desaparecen con limpieza
- Presentas desgaste o fracturas dentales
- No te gusta la forma de tus dientes
- Sientes que tu sonrisa no armoniza con tu rostro
- Has perdido confianza al sonreír
No todos necesitan el mismo diseño.
Por eso primero evaluamos tu caso clínicamente.
¿Para quién es este tratamiento?
Este tratamiento es ideal si:
Resultados Reales
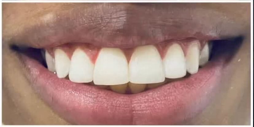
Diseño de 10 carillas
Caso 1: Carillas completas para nuestra paciente, color y forma


Diseño de sonrisa frontal
Diseño de sonrisa
Caso 3: Carillas naturales


Cada transformación fue realizada tras valoración personalizada.
Los resultados dependen de cada diagnóstico.
- Valoración clínica con radiografía
- Radiografía diagnóstica
- Colocación de carillas o restauraciones según diagnóstico
Durante la valoración se determina el número de piezas necesarias y el tipo de material más adecuado.
¿Qué incluye el tratamiento?
Un diseño de sonrisa no es solo “carillas”.
Es un tratamiento planificado que busca armonía facial, proporción dental y naturalidad.
En nuestra clínica analizamos:
Trabajo realizado profesionalmente, pacientes contentos.

Magdalena Zuñiga
Elian Zaid
Paniagua
El equipo de especialistas demuestra gran experiencia y compromiso, explicando cada etapa del tratamiento y brindando un acompañamiento cercano, lo que nos ha dado mucha confianza y tranquilidad.
Además, las instalaciones son modernas, con equipos de última tecnología y un ambiente muy agradable para los pacientes.
Sin duda, es un lugar que combina calidad humana y excelencia profesional.
Gabriela
Mejía
Pueblito
Araujo
Od. Katty Escobar - Salomia
Teléfono: +57 311 7961873
Dirección: Cl. 52, Comuna 5, Cali, Valle del Cauca, Colombia